틀니의 불편함을 없애주는
안정적이고 고정력 있는 치료
더뉴 틀니 임플란트
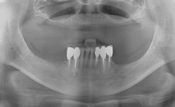
2개에서 4개 정도의 임플란트를 심고,
그 위에 딱 맞게 고정되는 틀니를 끼우는 방식입니다.
틀니 안쪽에 작은 고정장치가 있어
단추처럼 임플란트에 ‘딸깍’하고 끼워지는 구조라
일반 틀니보다 훨씬 덜 흔들리고 안정감이 좋습니다.
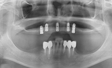
여러 개의 임플란트를 심은 뒤,
그 사이를 금속 막대로 연결해 튼튼한 지지대를 만들고,
그 위에 틀니를 안정적으로 고정하는 방식입니다.
몇 개의 임플란트를 심은 뒤, 완성된 임플란트에 부분 틀니를 연결해 흔들림 없이 안정감 있게 사용할 수 있으며 스스로 탈착은 불가능합니다.
적은 수의 임플란트를 심으면서도 입안의 틀니가 움직이지 않도록 고정해 주어 식사하는 데 부담이 적습니다.
임플란트를 시술할 수 없는 경우에 이 시술로 대체할 수 있습니다.
경제적인 이유로 임플란트 시술이 어려운 경우 선택할 수 있습니다.
초진
임플란트 식립
임플란트 보철물 세팅
틀니 착용


