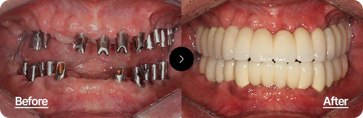
상실된 치아 전체를 복원하여
자연스럽고 건강한 구강 기능 회복
최소한의 임플란트로 최적의 위치에 식립하여 기능과 심미성을 동시에 회복하는 치료입니다.
정확한 교합 분석과 풍부한 임상 경험이 요구되는 고난이도 시술입니다.
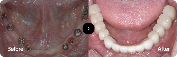
최소한의
임플란트를
식립해,
효율적으로 전체
치아를
복원합니다.
분석해 가장 안정적인
위치에 식립합니다.
고려하여, 자연스럽고
아름다운
미소를 완성합니다.
경우도 가능
대부분 시술이 가능합니다.
(정밀 진단 후 가능 여부 판단)
등 전신질환이 있는 경우에도
안정적인 치료가 가능합니다.




수술 후 최소 3일간은 입 안을 세게 헹구거나 빨대를 사용하지 마십시오.
(음압으로 인해 지혈이 늦어질 수 있습니다.)
수술 부위는 칫솔질을 피하시고, 처방받은 가글액을 사용해 주십시오.
손이나 혀로 수술 부위를 건드리거나 입술을 당기지 마십시오.
수술 부위에 출혈이 계속될 경우, 깨끗한 거즈를 이용해 1시간 정도
가볍게 눌러 지혈해 주십시오.
높은 베개를 사용하시면 통증이나 출혈을 줄이는 데 도움이 됩니다.
얼음찜질은 수술 후 48시간 이내까지만 시행해 주십시오.
수술 후 2주간은 반드시 금연·금주해 주십시오.
(흡연과 음주는 초기 골유착 및 회복에 악영향을 줄 수 있습니다.
가능하면 6주간은 삼가시는 것이 좋습니다.)
수술 후 2~3일간은 무리한 운동이나 사우나는 피하시고,
샤워만 가볍게 하십시오.
식사는 부드럽고 미지근한 음식 위주로 드시고, 딱딱하거나
뜨거운 음식은 피하십시오.
입 안의 청결을 유지해 주시고, 처방받은 약은 지시에 따라
정확히 복용해 주십시오.
출혈이 오래 지속되면 반드시 치과로 연락 주십시오.


